
داشتن دندان سالم و زیبا، نکته کلیدی در سلامت بدن است. این نکته اهمیت زیادی در سلامت دستگاه گوارش دارد و علاوه بر آن اهمیت

داشتن دندان سالم و زیبا، نکته کلیدی در سلامت بدن است. این نکته اهمیت زیادی در سلامت دستگاه گوارش دارد و علاوه بر آن اهمیت

داشتن لبخندی زیبا یکی از مهمترین نکات در زیبایی چهره ماست. این امر نشان از اهمیت بالای دندان ها و مرتب بودن آنها در زیبایی

دندان ها یکی از مهمترین اعضای بدن هستند که تاثیر مستقیمی بر روی زیبایی، گوارش مناسب و بالا رفتن اعتماد به نفس دارند. دندان ها

دندان عقل به سومین و آخرین دندان در هر قوس فکی دهان گفته میشود که دندان پزشکان به اصطلاح به آن آسیاب بزرگ یا آسیای

سرطان دهان یکی از انواع سرطان است که علی رغم پیشرفتهای علم پزشکی، به علت گوناگونی در علائم یکی از ده عامل مهم مرگ و

در سالهای اخیر علم پزشکی به ویژه در حوزه دندان پزشکی زیبایی پیشرفتهای زیادی کرده است. بکارگیری تکنیکها و ابزارهای جدید باعث شده است تا

به فاصله بین دو دندان متوالی در دندانپزشکی دیاستم گفته میشود. اصلاح فاصله بین دندان یکی از مهمترین علتهای مراجعه افراد به مطبهای دندان پزشکی

علم دندانپزشکی و روشهای درمان زیبایی دندان، در سالهای اخیر پیشرفت زیادی داشته است. به طوری که میتوان بسیاری از مشکلات دهان و دندان را

در دنیای امروز سلامت و زیبایی دندانها از اهمیت بیشتری برخوردار است. دندانهای یکدست و مرتب به داشتن لبخند و چهرهای زیبا و بالا رفتن

استفاده از بریج دندان، یکی از راه ها برای جایگزینی دندانهای از دست رفته است. بریج دندان انواع مختلفی دارد و با توجه به موقعیت

از دست دادن یک دندان علاوه بر اینکه از زیبایی صورتتان میکاهد، غذا خوردن را نیز برایتان دشوار خواهد کرد. معمولا برای درمان دندان از

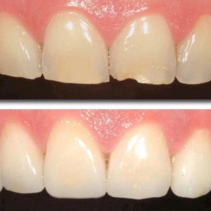
روکش دندان یا تاج، روشی درمانی است که هنگام پوسیدگی شدید یا شکستگی دندان به کار میرود. زمانی که آسیب دندانی به میزانی باشد که
تمامی حقوق متعلق به شركت ستاره گنبد مينا میباشد | ۱۴۰۲
دیجیتال مارکتینگ توسط آژانس دیزون – از ۱۳۹۵