
بیماری های عفونی زیادی وجود دارد که به دلیل عدم رعایت بهداشت دهان و دندان پدید میآیند. این بیماری ها در صورت عدم توجه و

بیماری های عفونی زیادی وجود دارد که به دلیل عدم رعایت بهداشت دهان و دندان پدید میآیند. این بیماری ها در صورت عدم توجه و

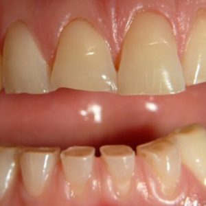
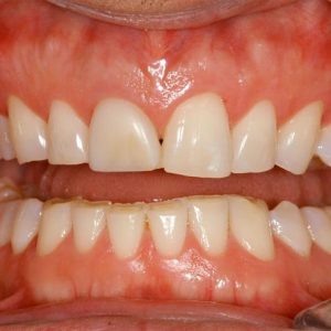
دندان ها بخش مهمی از بدن انسان هستند. چرا که هر غذایی که ما می خوریم از طریق جویدن وارد بدن می شود. بنابراین داشتن

یکی از درد هایی که می تواند شبانه به سراغ انسان بیاید، دندان درد است. قطعا هیچ چیزی بدتر از دندان درد در شب نیست.

درد دندان یکی از مشکلات رایجی است که همه انسان ها ممکن است در طول زندگی خود حداقل یک بار تجربه کنند. علت دندان درد

بیماری آنژین لودویگ یک بیمار نادر عفونت پوستی است که در کف دهان و زیر زبان نمایان می شود. این عفونت باکتریایی اغلب پس از

عفونت دندان که یکی از شایع ترین عفونت های ناحیه سر و گردن است. در نگاه اول ممکن است خیلی ساده به نظر برسد. اما

دندان قروچه یا بروکسیسم به وضعیتی گفته می شود که فرد تحت شرایط خاصی، از جمله استرس یا عصبانیت، یا ناخوداگاه در هنگام خواب، دندان

از آن جایی که بهداشت دهان و دندان بر سلامت کل بدن تاثیر می گذارد، عدم رعایت بهداشت دهان و دندان می تواند منجر به

آبسه دندان مجموعه ای از عفونت و باکتری است که در داخل دندان یا لثه تشکیل می شود. بدون درمان مناسب، عفونت های دندان می

آبسه دندان کیسه ای حاوی عفونت های دندانی است که می تواند در داخل دندان ها، لثه ها یا حتی استخوان فک تشکیل شود. آبسه

برخی افراد به اشتباه فکر می کنند که تمام دردهایی که در ناحیه فک و صورت ایجاد می شود مربوط به دندان هستند. در حالی

یکی از راه کارهای مراقبتی برای مقابله با میکروب ها و پلاک دندان استفاده از دهان شویه است. متاسفانه استفاده از این محلول ارزشمند در
تمامی حقوق متعلق به شركت ستاره گنبد مينا میباشد | ۱۴۰۲
دیجیتال مارکتینگ توسط آژانس دیزون – از ۱۳۹۵